Moda Olanlar EĞİTİM Çürük Diş Kalp Hastalıklarına Neden Olur Mu?

Çürük Diş Kalp Hastalıklarına Neden Olur Mu?

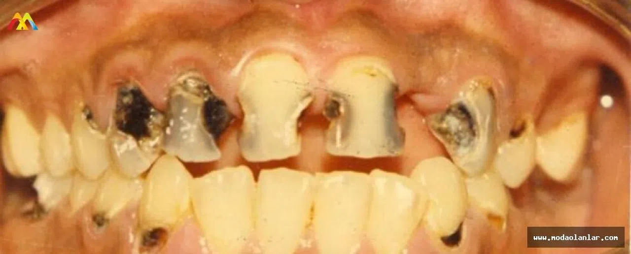
Çürük diş sağlık sorunlarını beraberinde barındırmaya devam ederken uzmanlar çürük diş ile ilgili olan sorunların çok dikkatli olarak tedavi edilmesi gerektiğini ifade ediyor.

Çürük diş insan sağlığı adına verdiği zararların sonucunda kalp hastalıklarını beraberinde barındırmaya devam ederken vatandaşların genel olarak özellikle Türk halkının diş fırçalama konusunda yetersiz ve bilgisiz olması, diş fırçalamak adına zaman ayırmaması ve gereksiz olarak görmesi bununla beraber diş fırçalama tekniklerini doğru olarak bilmemesi gibi bir takım uyarılar dolayısı ile sorunlar yaşandığını ifade edilirken vatandaşların kalp ve sağlık sorunlarını bunlar dolayısı ile yaşadıkları ifade ediliyor.

Diş Bir Çok Sorunu Beraberinde Getirir!

Diş hekimlerinin açıklamalarına göre özellikle diş ve ağız sağlığında olan bir sorun her ne kadar kısa vadeler içerisinde belli olmasa da kanser ve benzeri sağlık sorunlarına da neden olabiliyor. Uzmanlara göre kanser ve benzeri sağlık sorunlarının yaşanmaması ve bunun önüne geçmek adına kalp sağlığı sıkıntılarına neden olan diş çürüklerinin ortalama olarak en kısa süre içerisinde ancak en geç 3 ay içerisinde tedavisinin sağlanması gerekliliği açıklanmakta.

Yorumlar
* Bu içerik ile ilgili yorum yok, ilk yorumu siz yazın, tartışalım *